Rusya ile Ukrayna savaşın eşiğinde. Bu çatışmanın zincirleme bir etkiyle Üçüncü Dünya Savaşı'na yol açma olasılığı da son derece yüksek. Ama aramızda dünya yansa bir tutam otunun yanmayacağını sanan aymazlar var. Özellikle de hayatı klavye başında mavra yapmaktan ibaret sanan densizler... Savaş olasılığı ortaya çıkar çıkmaz, mizahın en çirkinine soyundular. "Savaş mültecisi Ukraynalı kadınlar için sınır kapılarımızı açalım" türünden, en hafif tabiriyle zevzekliklerle doldurdular sosyal medyayı. Ukrayna vatandaşı Marina adlı bir kadın da cevaben bir kapak taktı ağızlarına işte o mesaj:
"Ukraynalı kadınlar buraya gelmeyecek, hiç birinize meraklı da değiller. Olası bir savaş durumunda her iki ülkenin de küçük, büyük, bebek ve yaşlıları zarar görecek, hayatlar sönecek.. Savaş deniyor, çok ciddi bir durum bu! Saçma salak twitler atmayın, insan olun biraz!.." (@ marina_stamat)
Affet bizi Marina... En azından devletimiz bu sosyal medya terörünü önleyene kadar...
Ah Safiye'm ah!..
Adı Safiye Çallı'ydı. "Aşık olduğum türkücü benim duygularımla oynadı. Sonra da evimi, paralarımı alıp beni dolandırdı" diyerek Atv'deki Müge Anlı'nın programına başvurmuştu. Müge Anlı devreye girince, vefasız aşık 50 bin lira değerinde bir otomobil ve elinde bir tomar parayla stüdyonun önüne geldi. Ama belli ki bizim Safiye, paradan, maldan, mülkten çok, gönlünü kaptırdığı türkücü Cüneyt'in kendisine geri dönmesini arzuluyordu.
Aradan bir süre geçtikten sonra Safiye, yeniden iki gözü iki çeşme stüdyodaydı. Meğer başka biriyle nişanlanan eski sevgilisi onu yeniden kandırmış ve 20 bin lira parasını daha almıştı. Zaafı yüzünden sürekli aynı kişi tarafından dolandırılan Safiye'nin durumuna Müge Anlı ile birlikte tüm stüdyo isyan etti.
"Safiye"; saflık, duruluk, temizlik ifade eden bir kadın ismi. Ama her nedense "saflık" bizde salaklıkla eş anlamlı kullanılır. Çünkü her zaman bozulmamış olanı bozmaya, zaaflardan faydalanmaya eğilimliyiz. Peki ya Safiye'nin öyküsü "Aşkın Gözü Kördür" ismiyle bir filme dönüşür mü? Orasını da yapımcılar düşünsün.
Bu arada Müge Anlı'nın 14 Şubat Sevgililer Günü'ndeki programı tek kelime ile "olay"dı. Daha önceki programlarda aldatılan, aşkı tarafından dolandırılan, stüdyoda yaptığı evlilik iki ay dayanmayan kim varsa bir aradaydı. Programı izleyen bir seyirci şöyle bir mesaj attı: "14 Şubat'ta sevgilim olmadığı için çok üzgündüm. Ama programı izledikten sonra iyi ki yok dedim..."
Buna da mı inanmayacaksınız?
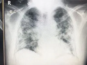
Pandemiye çare olarak aşıların geliştirildiği ilk günden beri hayatta kalmanın tek yolunun eksiksiz aşı yaptırmaktan geçtiğini bu köşede ısrarla savundum. Bu uğurda niyetlerini henüz anlayamadığım fanatik aşı karşıtlarından da bolca linç yedim tabii.
Bu fotoğrafı fedakar pandemi savaşçılarından Prof. Dr. Kıvanç Şerefhan'ın sosyal medya hesabından alıntıladım. Gördüğünüz, 45 yaşındaki bir hastanın akciğer röntgeni. Siyah lekeler, Covid 19'un ciğerlere nasıl tutunduğunu ve tahrip ettiğini gösteriyor. Sigara içmemesine ve düzenli spor yapmasına rağmen 45 yaşındaki hasta tam 14 gün entübe halde yoğun bakımda kalmış. Çünkü aşısızmış... 70 yaşındaki annesi ise aynı hastalığı evinde hiçbir güçlük hissetmeden atlatmış. Çünkü aşıları tamammış...
Eğer bu bilimsel veri de sizi ikna etmeyecekse, artık yazacak hiçbir şeyim yok!..
Gaf kürsüsü
TRT 1'de yayınlanan Alparslan Büyük Selçuklu dizisindeki kesik kafa sahnesi büyük tepki çekti. (Dizi sadece +7 yaş uyarısıyla yayınlanıyor)
Zap'tiye
Trampolin Dünya Şampiyonası'nda altın madalya kazanan jimnastikçi kızlarımız Sena Elçin Karakaş ve Sıla Karakuş hem göğsümüzü kabarttılar hem de yıllardır "Trambolin" diye bilinen aletin doğru adının "Trampolin" olduğunu hepimize öğrettiler.
Ne demiş?
"Sırf hoşa gitmek, dikkat çekmek için 'Bu iş bitti' mesajları veren akademisyenler lütfen bin düşünüp, bir konuşsunlar. En azından her gün annesini, babasını, eşini, çocuğunu kaybeden yüzlerce insana saygı için..." (Prof. Dr. Mehmet Ceyhan'ın paylaşımı)























































Yorum Yazın